:contrast(8):quality(75)/https://baby.unica.ro/wp-content/uploads/2023/03/medici.jpg)
Câțiva medici din Paraguay au descoperit ceva cu totul neobișnuit în plămânii unui copil care acuza de câteva luni tuse constantă.
Copilul, în vârstă de cinci ani, suferea de tuse persistentă încă din luna decembrie a anului trecut. Părinții au zis că este vorba despre o răceală trecătoare și au amânat vizita la medic.
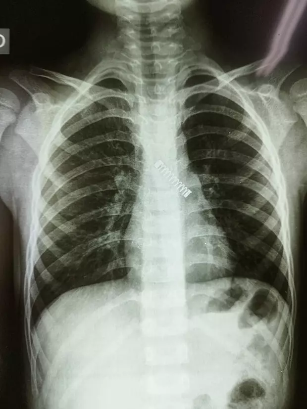
În timp ce efectuau verificări ample pentru a detecta problema, medicii au fost uimiți să găsească un obiect metalic, mai exact arcul unui pix, în plămânul stâng al copilului. Obiectul a fost vizibil pe radiografie.
Băiatul, a cărui identitate nu a fost specificată, a fost tratat mai întâi la Spitalul Regional De Villarrica, iar ulterior a fost transferat la Institutul Național de Boli Respiratorii și de Mediu pentru tratament de urgență.
Copilul este acum într-o stare stabilă, după ce medicii au îndepărtat cu succes arcul, pe 8 martie.
Dr. Carlos Morinigo a spus că procedura a fost complicată din cauza timpului în care obiectul străin a stat în plămânul băiatului și a daunelor pe care le-a provocat.
Cu toate acestea, în ciuda faptului că obiectul a dus la o „scădere probabilă' a capacității plămânilor, doctorul Morinigo a precizat că starea plămânilor se va îmbunătăți pe măsură ce băiatul va crește. Medicul a postat pe rețelele de socializare câteva fotografii cu arcul de pix din plămânul băiatului.
„Trei luni de tuse. Și niciodată nu a fost dus la doctor până acum. Săracul de el!” – a transmis medicul.
De asemenea, el a ținut să le reamintească părinților să fie foarte atenți în preajma copiilor mici și să nu-i lase nesupravegheați sau în preajma obiectelor care le-ar putea face rău. Medicul a adăugat că părinții ar trebui să-i ducă întotdeauna copiii la medic dacă au o problem de sănătate persistentă, mai ales dacă e una ca tusea, care poate prevesti apariția bolilor grave.
Foto – Facebook / 123rf.com